からだの部位からわかる病気

食道の病気

食道は口から摂取したものを胃に運びます。つかえ感や胸やけなどをきたしやすい臓器です。中が狭いため、狭窄などの症状が出やすくなります。

診断のために内視鏡検査を行う事も多く、当院でも多くの方が診断治療を受けられています。

逆流性食道炎

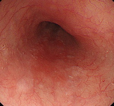
逆流性食道炎は胸やけの原因です

胃酸などの逆流により主に下部食道に炎症をきたす病態が逆流性食道炎です。

食道と胃のつなぎ目の部分の括約筋が緩く、胃酸の食道への逆流が起こると、胸焼けやつかえ感が生じます。症状が続く場合には、内視鏡で観察し炎症を確認します。食道にびらんや潰瘍を認める逆流性食道炎と、内視鏡での所見は少ないものの、胸焼け等の逆流症状を訴える非びらん性胃食道逆流症があります。

原因は食道裂孔ヘルニア、食生活によるもの、加齢変化などいろいろな要因が組み合わさって症状を引き起こします。

内視鏡でも所見の目立つ逆流性食道炎では制酸効果の高いプロトンポンプインヒビターの治療が奏功することがよくあります。一方で、非びらん性胃食道逆流症は逆流性食道炎よりも胃酸分泌抑制剤の効きがやや弱く、安定剤や漢方薬が有効なことがあります。またこの非びらん性胃食道逆流症は若い痩せた女性に多く、咽頭炎や咳の原因にもなることがあり、耳鼻科を受診しても異常がないと診断され、当院のような消化器科を受診されることもよくあります。

食道裂孔ヘルニア

食道と胃の境界が緩くなります

食道と胃のつなぎ目には、胃の内容物や胃酸が食道に逆流することを防ぐ下部食道括約筋があります。胸とおなかを分けているのが横隔膜ですが、ここには食道を通すための孔があり食道裂孔といいます。下部食道括約筋は通常この位置に存在し、胃からの逆流を防ぐ弁の役割を果たしています。

普段はあまりその存在を意識することはありませんが、裂孔部分が緩くなり、胃が胸の方へ脱出しやすくなると下部食道括約筋が弛緩し、胃の内容物が食道へ逆流しやすくなります。

食道裂孔ヘルニアは肥満や加齢などが原因といわれています。太っていて腹圧が高くなりやすい方、高齢の方で特に背中が丸まった方、油っぽいものをよく食べる方、ストレスの多い方は症状が出やすい傾向にあります。

食道がん

通常の検査ではわかりません

ルゴール散布で食道がんが明瞭になります

食道がんは主な症状として、食べ物のつかえ感、背部痛、体重減少などがあります。60-70歳代の男性に多く、中でもアルコールの摂取量が多い方、アルコール度数の高いものを摂取する方、長期間の喫煙歴がある方などに多く見られます。

もともとアルコールに弱く顔が赤くなりやすい方が、何度も飲酒するうちに耐性ができて比較的飲めるようになった場合も要注意です。アルコールが分解された後のアセトアルデヒドが高濃度のまま食道に影響をあたえます。

早期の場合にはつかえ感などの症状は何もないこともあります。また健診やドックの内視鏡やバリウム検査では見つけにくく、検査時に疑った場合にはNBIやBLI、時にルゴール散布を追加して検査を行う必要があります。

特にこのルゴール(ヨード)散布は刺激が強く、通常の検査では行いませんが、早期の食道がんを診断する上では非常に有用です。ほかのがんと同じく転移の可能性のない早期がんでは、内視鏡による切除も可能で根治が期待できます。

早期発見のためには、定期的な内視鏡検査が不可欠です。特にリスクの高い方は、年に1-2回内視鏡検査を行う事もあります。

飲酒や喫煙などの習慣がある方は、定期的な内視鏡検査を受けることをお勧めします。

食道カンジダ症

内視鏡検査を行うと、食道に白色の顆粒がたくさん存在することがあります。比較的よくある所見で、ほとんどの食道カンジダでは症状が無く治療の必要はありません。

カンジダそのものは常在菌であり、正常な方にもよく見られます。喘息のため吸入ステロイド治療を行っている方や熱いものや刺激の強いものをよく摂取する方にはしばしば認められます。また、高齢者や糖尿病の方、慢性腎不全や肝硬変の方、膠原病などでステロイド薬を服用している人など免疫力が低下する場合には多く見られます。重症の食道カンジダ症では免疫異常を疑いHIV感染なども疑って検査を行います。

食道がしみる感じが強い場合や胸やけなどの症状がある場合には、内服治療を行うこともあります。

マロリーワイズ症候群

吐いた時に食道と胃のつなぎ目が切れて裂傷となることが原因で、吐血の原因となります。

多くは大量のアルコールを飲んだあとに多く、激しく嘔吐した後の吐血で受診することが多い疾患です。飲酒以外でも腹部に急に力を入れるような作業や、ひどい咳や咳上げ、内視鏡検査中の嘔吐反射などでも起こりえます。

症状は吐血で、その多くは自然に止血され治ります。腹痛などのほかの症状があることは稀ですが、ただ吐血の原因が他の潰瘍であったり、出血が続く場合には内視鏡検査を行い、内視鏡的な止血処置を行う事もあります。

食道静脈瘤

アルコール性肝障害や慢性肝炎から肝硬変となった方に内視鏡で認められることが多いのが食道静脈瘤です。

普段は症状はありませんが、吐血の原因となり、救急で治療が必要な疾患です。食道の粘膜の下に存在する静脈が膨隆しこぶのようになります。消化管から肝臓に流入する門脈の圧が肝硬変により異常に高くなると他の血管への圧が高くなり食道周囲の血管にも影響がでてきて起こる病気です。

肝硬変の方やお酒を飲まれる方は、毎年必ず胃内視鏡検査を受けましょう。また内視鏡と一緒に腹部超音波検査も行い、肝臓や周囲臓器に異常が無いかもチェックしましょう。

肝機能異常や肝硬変、食道静脈瘤はがんではありませんが、やはり早期診断・早期治療が大切です。

症状のある方は

食道には他にも疾患は数多くあり診断には内視鏡や腹部超音波が有用です。

桐山クリニックでは消化器科・胃腸科として食道の診断や治療を行っています。

気になる症状がある方は、遠慮なくお問い合わせ・ご来院ください。

お電話でのお問合せ

027-310-1234

●電話受付時間水曜・祝日を除く)        

月・木・金曜 9時から18時 
火曜     9時から13時
土・日曜   9時から16時

パソコン|モバイル
ページトップに戻る