Ultrasound Sonography

超音波検査

腹痛や膨満感など様々な症状の原因について、体表から超音波を当てて、腹部の異常などを探る検査です。

この超音波検査の最大の特徴は、

・体への負担が無い検査である

・必要であれば症状の変化に合わせて何度も再検査可能

・お子さんや妊娠中の方でも検査可能

・負担が少ない検査であるにも関わらず、得られる情報量が多い

といったメリットの大変多い検査です。

超音波検査のメリット

身体に負担の無い検査・・・
おなかにゼリーを塗りプローベを当てるだけ!

プローベを用いて検査します

腹部超音波(エコー)検査は体表からプローベを当てて、超音波を深部に伝え、その反射具合により臓器や病変を確認する検査です。

プローベと体表の接触点にゼリーを塗布し、エコーのノイズを減らし、症状のある個所やスクリーニングを行っていきます。

当院で行っている超音波検査は注射など痛みを伴う処置はありません。

患者さんにはベッドで横になっていただき、おなか(症状によっては背中)にゼリーを塗布し検査を行っていきます。

病状に合わせて再検査が可能

病変サイズもすぐに確認できます

腹痛症状も経過によっては、同じ場所が痛むだけではなく、別の場所の痛みだったり、広い範囲に痛みが出たりします。

またポリープや腫瘍、結石などの大きさの変化などもすみやかに確認できます。

炎症が改善しているのか、悪化しているのか、腫瘍の経過では腹水などが増えていないか、リンパへの再発が無いかなども確認できます。

必要に応じてすぐに検査を行い、以前の所見や結果と照らし合わせて評価することができます。

身体に負担が無いのに得られる情報量が多い

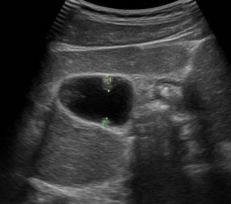
胃の痛みで受診したら・・・
大きな胆石が見つかることも!

おなかの症状を評価する検査には他にもCTなどがありますが、放射線被爆の影響があり、妊娠中の方やお子さんなどの検査では検査の適応に慎重になる必要があります。

腹部超音波はそのような放射線の影響はなく、痛みも無い検査であり、お子さんや妊婦の方でも検査が可能で、必要により何度も検査できます。

さらに、肝臓・膵臓・胆のうといった上腹部臓器に限らず、腎臓や膀胱も胃も大腸も虫垂なども症状や病状の経過によっては評価していきます。腸管内にガスが多くて見えずらいことや、内臓脂肪が多く評価しがたいこともありますが、それも一つの所見としてとらえ、症状の原因検索に大いに役立ちます。

おなかの症状の原因チェックに

患者さんの中には、「少し前から胃が痛くて・・・」という症状で来院される方がいます。胃のあたりをさすって症状を伺いますが、おなかには胃だけではなく多くの臓器が複雑に存在し機能しています。胃潰瘍やポリープの診断は内視鏡が得意な分野ですが、消化管の外を見ることができる超音波と組み合わせることで、格段に症状に関連した情報が増えます。

腹部超音波検査の費用について

症状がある方の場合には保険診療として検査を行っております。ご自身の保険負担割合に応じて自己負担額は異なります。別途診察料等保険診療に応じた費用が必要です。

当院では健康維持のためのドック検査として腹部超音波検査(エコー検査)も行っております。「特に症状は無いけれども、安心して異常が無いか確認したい」、「知り合いが病気になったので、自分も一度検査を受けてみたい」というご相談も承っております。ドック検査の場合には全額自費となります。

一度ご相談ください。

腹部超音波検査の流れ

お問合せから検査までの流れをご紹介します。

お問合せ

お電話にて、もしくは桐山クリニックホームページのお問合せフォームよりご連絡ください。お問合せフォームからの場合には検査の日時や注意事項についてご指定のお電話番号にご連絡いたします。

まずは気軽にご相談ください。

腹部超音波検査の準備は特に大掛かりなことはありません。

前日は概ね20時ころまでに食事を済ませてください。

当日朝はなるべく水分摂取を控えてください。水分摂取により胃腸の動きが強くなり検査がしづらくなったり、見えにくい場所ができてしまう事があります。

また胃カメラと一緒に検査を行うこともありますので、胃カメラ検査に向けての指示にも従ってください。

おなかの診察や超音波検査でおなか全体をチェックします。そのため、おなかを出し易い服装で受診していただきますようよろしくお願いします。

診察

初診の方の場合には、受診いただいたら、診察を行います。症状の程度や場所など検査に向けて確認していきます。

ご自身の病状経過や気になっていることをお伝えください。ほかの病院での検査結果や過去の結果なども参考になります。

経過についてまとまっていなくても大丈夫です。少しずつお話しを伺って、検査を進めていきます。

腹部超音波検査

細かくチェックしていきます

検査を行います。

リラックスして横になって下さい。

必要に応じて、深呼吸をしていただいたり、体を傾けたりしていただきます。

特に心配なことや気になることがあれば遠慮なくお伝えください。

結果

結果により異常がなければ安心ですね。

所見の内容や、腹部超音波検査だけでは評価できない場合など、もっと精密検査が必要と判断された場合には、胃カメラ検査や大腸内視鏡や血液検査、ほかの画像診断検査を行うこともあります。

結果やその後の方針や症状に合わせた治療法についてご説明します。

超音波検査を受けられた方

超音波検査もしていただいて安心しました。

72歳 女性

検査後のコメント

超音波検査もしていただいて
安心しました。

・数週前より胃のあたりの痛みがあり来院されました。

・悪い病気があるのではないかという不安と、検査そのものについての不安があり、来院後症状をうかがい、超音波検査を行いました。胆のう結石や膵臓の腫瘍などの疾患が無いことを超音波検査で確認しました。

・超音波検査だけでは確認ができない食道や胃、十二指腸の病変については内視鏡検査を行うこととしました。内視鏡検査(胃カメラ)がつらいのではないかという不安があるため、鎮静剤によるつらくない内視鏡検査について説明しました。安心して検査を受けていただきました。

症状のある方は

桐山クリニックではおなかの症状に合わせて、内視鏡検査とともに超音波検査も行っています。痛みのない検査で、安心した日々の生活を送ることができます。おなかのことで気になることがある方は、遠慮なくお問い合わせ・ご来院ください。

お電話でのお問合せ

027-310-1234

●電話受付時間水曜・祝日を除く)        

月・木・金曜 9時から18時 
火曜     9時から13時
土・日曜   9時から16時

パソコン|モバイル
ページトップに戻る