Endoscopy

人工知能AIによる内視鏡検査と診断:胃

本当はつらくない内視鏡検査をすべての方へ – 桐山クリニック(高崎・群馬)

AI(人工知能)内視鏡検査支援システムCADEYEを導入

CADEYEによる上部消化管病変の検出向上を目指して

内視鏡検査支援プログラムCADEYE

桐山クリニックでは、内視鏡検査支援プログラムCADEYE(FUJIFILM)を導入しました。上部内視鏡検査においてAI(人工知能)の技術を利用して、より胃がんや食道がんの早期に検知できるよう内視鏡検査に取り組んでいきます。ドック検査はもちろん高崎市胃がん検診や企業健診の方にも追加費用なく利用できる体制を整えています。

当院で導入した最新システムは内視鏡の画像の向上はもちろん、光源もLEDとなり非常に明るいため広い範囲の検出が可能となっています。精密な検査とさらに支援プログラムでより早期に、よりつらくない検査を行ってまいります。

専門医の目とAIの目と

検査中の内視鏡画像は内視鏡専門医師が検査をしつつ直接確認し診断していきます。さらにその検査中の内視鏡画像をAIでも判断。経験豊富な内視鏡医が診断することはもちろんですが、AIにても解析し,瞬時に病変の有無をチェックしていきます。

桐山クリニックでは国立がん研究センター内視鏡部での経験豊富な5名の専門医で現在内視鏡検査を行っておりますが、さらにAI支援も加えてより質の高い内視鏡検査を行います。

従来プログラムは正常のポリープにも反応しやすく、何でも見つけてしまうといった点がありましたが、腫瘍病変の画像学習をさらに蓄積し、当院で使用している現行プログラムはさらに胃がんや食道がんなどを疑う病変の検知向上が期待されています。

AI内視鏡をご希望の方はお気軽にお問い合わせください。

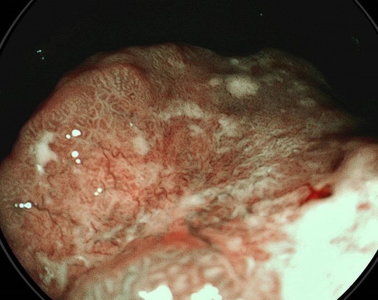
最新のAI内視鏡検査支援システムによる胃内視鏡検査の実際

桐山クリニックでは経験豊富な内視鏡専門医とAI検査支援システム併用の検査を胃内視鏡(胃カメラ)で受けることができます
①病変をAIの目で瞬時に捕捉

経験豊富な内視鏡専門医の目に加えて、疲れ知らずのAIが胃病変を瞬時に捕捉し追いかけます。

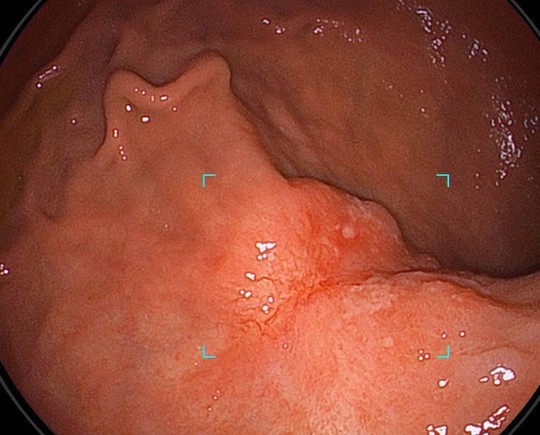
③指摘した病変を特殊光で評価

病変の内部構造を確認します。粘膜表層の血管構造をとらえ、腫瘍・非腫瘍の鑑別を行います

②反転観察でも確実に指摘

広い胃のなかでは反転し観察も行います。Scopeが写りこんでいても、確実に病変を捕捉していきます。

④病変の拡がり具合も確認

AIも利用しますが、一番大切なのは経験豊富な内視鏡専門医がしっかり診断することです。胃癌の診断では病変の範囲や深達度を評価するためにインジゴカルミンなど色素の散布を行ってより細かな診断をしていきます。

症状のある方やAIによる内視鏡検査のご希望の方は

桐山クリニックでは正確な内視鏡診断と治療に基づく消化器診療を行っております。気になる症状がある方は、遠慮なくお問い合わせ・ご来院ください。

お電話でのお問合せ

027-310-1234

●電話受付時間水曜・祝日を除く)        

月・木・金曜 9時から18時 
火曜     9時から13時
土・日曜   9時から16時

パソコン|モバイル
ページトップに戻る